|
Keramik
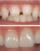
Kronen
Eine Krone ist
immer dann indiziert, wenn ein Zahn tief zerstört ist und eine
Rekonstruktion mittels Füllung,
Inlay oder Veneer nicht mehr in Frage kommt. Dies ist
insbesondere der Fall wenn
• der Defekt unter das Zahnfleisch reicht
• der Zahn wurzelbehandelt (wurzeltot) ist
• der Zahn tief abgebrochen (frakturiert) ist
• Karies oder alte Füllungen flächenhaft um
den Zahn ausgedehnt sind.
|
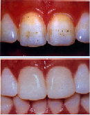
Verblend
Kronen
Die Verblendkronen ist eine Keramikkrone mit Metallkern. Kronen mit
keramischer Verblendung sind ästhetisch anspruchsvoll und von
eigenen Zähnen nicht zu unterscheiden. Die keramische Masse
wird
auf das Kronengerüst aufgebracht und wodurch sie sich fest mit
der
Metallunterlage verbindet.
|
 |
 |
Vollkeramik
Kronen
Die Vollkeramik Kronen sind metallfrei und finden Anwendung vermehrt
bei kritischen Patienten, da die biokompatible Keramik der Forderung
nach besonders anspruchsvoller Ästhetik am ehesten gerecht
wird.
Die Vollkeramik Kronen sind in der ästhetischen Wirkung
unübertroffen. Vollkeramik Kronen sind recht zeitaufwendig,
sie
zählen zu den Spitzenleistungen der modernen Zahntechnik.
|
|