|
Ästhetische
Zahnheilkunde
Füllungen,
Inlays und Veneers
Amalgam:
Da unsere Praxis schon seit langem „amalgamfreie
Zone” ist,
mussten wir schon vor Jahren die Frage nach möglichen
Alternativen
zum Amalgam beantworten.
Zahnfarbene
Füllungen (Kompositfüllungen -
Schönheitsreparaturen)
|
|
|
|
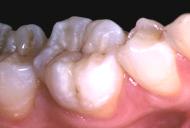
Amalgam
Füllungen lassen sich sehr gut durch Komposit ersetzen
|
| |
|
|
|
|
Beispiel
für kleine Schönheitsreparaturen
|
Moderne zahnfarbene
Füllungskunststoffe (auch „Komposit”
genannt, da sie
aus einer Kunststoff-Basis und anorganischen Füllstoffen
zusammengesetzt sind) haben heute ein hohes Qualitätsniveau
erreicht. Vor allem im Frontzahnbereich
(Schneide-
und Eckzähne), aber auch für kleinere
Füllungen von
Seitenzähnen, sind
Kunststoff-Füllungen heute die
Therapie der Wahl. Da für praktisch jede Zahnfarbe
entsprechend
gefärbte Komposits zur Verfügung stehen, gelingt
meistens
eine perfekte ästhetische Anpassung der Füllung. Bei
großen Füllungen im Seitenzahnbereich kann seine
Verwendung
problematisch sein und ist die Lebensdauer begrenzt Als dauerhafte
Alternative zu Komposit ist eine Verwendung von Keramik Inlays zu
erwähnen.
|
|
Compomer
Ebenfalls ein zahnfarbener Kunststoff, der leicht zu verarbeiten ist,
aber lediglich zur Behebung kleiner, zentraler Kariesdefekte der
Seitenzähne und für Zahnhalsfüllungen dient.
|
Inlays
Inlays sind
Einlagefüllungen, die deutliche Vorteile hinsichtlich der
Haltbarkeit, Sicherheit, Funktion und Ästhetik
gegenüber den
oben genannten Füllungen bieten. Dieses jeweils individuell
angefertigte Inlay erfordert - unabhängig vom verwendeten
Material
- vom Zahnarzt große Präzision, sehr gute
zahntechnische
Fähigkeiten sowie ein Höchstmaß an
zahnärztlichem
Können. Zu den vielen Behandlungsschritten welche die
Verwendung
eines Inlays in der Praxis erforderlich macht, gehören u.a.
der
Abdruck von Ober- und Unterkiefer sowie die zunächst
provisorische
Versorgung des Zahnes.
Kennzeichnend für die Einlagefüllung ist, dass sie
grundsätzlich außerhalb des Mundes vorgefertigt wird
-
oftmals in einem zahntechnischen Labor - um dann nachher eingesetzt zu
werden. In manchen Fällen ist in unserer Praxis auch eine
sofortige Fertigung möglich.
|
|
Keramik Inlays (Porzellaninlays)
Die
Optik des
natürlichen Zahnes wird beinahe perfekt durch Keramik
imitiert.
Keramik Inlays sind metallfrei und daher lichtdurchlässig. Mit
einem speziellen Adhäsiv-Verfahren werden Sie spaltfrei in den
Zahn geklebt. Es entsteht ein chemischer Verbund zwischen Zahn und
Keramik, der auch geschwächten Zähnen wieder die
ursprüngliche Festigkeit verleiht. Der ästhetische
Effekt ist
wegen der hohen Transparenz ausgezeichet. Keramik ist extrem
biokompatibel, Allergien, wie z.B. auf bestimmte Metalle, sind nicht
bekannt
|
Beispiele für Keramik –
Inlays
|
|
Gold
Inlays
Sicherlich ist Gold der zahnärztliche Werkstoff, welcher dem
natürlichen Zahn mit seinen Eigenschaften am nächsten
kommt
von der Farbe einmal abgesehen. Die Gold-Einlagefüllung wird
verwendet im Seitenzahnbereich. Sie erfüllt dabei
die
höchsten Anforderungen hinsichtlich Sicherheit,
Dauerhaltbarkeit,
Paßgenauigkeit sowie Materialverträglichkeit. Wir
haben
Legierungen von über 90 %.
|
 |
Kunststoff
- (Komposit) – Inlays
Neben einfachen Füllungen werden auch Inlays aus diesem
Material
gefertigt. Zwar sind diese meist laborgefertigten Inlays
ähnlich
gut in Funktion und Ästhetik wie die Keramik -Inlays, jedoch
ist
das Material hier etwas weicher, weshalb eine geringere Lebensdauer des
Inlays zu erwarten ist. Angepaßt an die natürliche
Zahnfarbe
werden diese, unter hohem Druck im Labor gefertigten, Kompositinlays
mit Spezialfarben. Auch sie werden mit einem Spezialkleber im Zahn
befestigt. Geeignet sind Kunststoffinlays insbesondere
für
große, mehrflächige Zahndefekte.
Veneers
– Verblendschalen
Der Einsatz von Veneers ist ein Teilgebiet der Ästhetischen
Zahnheilkunde und dient in der Regel einer Verschönerung bzw.
Begradigung der Frontzähne. Schöne Zähne
sind ein
wichtiger Bestandteil des gesamten Erscheinungsbildes eines Menschen.
Aus diesem Grunde wünschen sich viele ein optimales Aussehen
auch
der Zähne: Film- und Fernsehstars machen es vor.
Veneers
sind
dünne Verblendschalen aus Keramik, die mit einem Spezialkleber
auf
die Zahnoberflächen von Frontzähnen aufgebracht
werden. Im
Gegensatz zur Krone wird der Zahn aber nicht von allen Seiten
überzogen. Die Zahninnenseite bleibt unterhalb der
Schneidekante
weitgehend frei.
Einsatzgebiete
- abgebrochene Zähne
- unschöne Füllungen
- verfärbte Zähne
- unterschiedliche große
Zähne
- Frontzahnlücken
Die zur Herstellung verwendete Keramik ist zahnfarben und
lichtdurchlässig. Keramik gehört seiner Farbe und
seinen
mechanischen Eigenschaften nach zu den Materialien, welche
natürlichen Zähnen am nächsten kommen.
Entsprechend
bevorzugt wird es auch verwendet. Weitere positive Eigenschaften des
Werkstoffes Keramik sind seine Dauerhaltbarkeit, Druckfestigkeit und
nicht zuletzt die gute Gewebeverträglichkeit.
Beispiele:
Haltbarkeit:
Veneers zeichnen sich durch eine ausgezeichnete Haltbarkeit und
bedürfen keiner besonderen Pflege, die über eine gute
Mundhygiene hinausgeht. Bei guter Pflege halten sie 15 Jahre und
länger.
Schädlich ist allerdings dauerndes Kauen der
Fingernägel oder von Bleistiften etc.
|